当犬舎の父犬の股関節形成不全(CHD)検査の参考結果
当犬舎で活躍している種犬(父)の、股関節評価です。ここではソロモンの評価を参考としておいています。個別の父犬の評価につきましては、お問い合わせください。
日本動物遺伝病ネットワークについて
日本動物遺伝病ネットワーク:JAHD Networkは、獣医師によって設立された動物の遺伝性疾患の診断、データベース構築を柱に、遺伝性疾患に関する科学的な研究、情報提供などを行っている団体です。遺伝性疾患に関しては、いろいろな考え方、取り組み方があるとは思いますが、JAHD Networkでは、動物を愛育し健全な繁殖を目指している関係者が、遺伝性疾患について考慮する際の手助けとなる有用な情報を提供している団体です。その活動により人と動物とのより良い関係が築くために活動している団体です。
JAHD Networkでは、多くの獣医師が撮影可能な股関節の伸展撮影によるレントゲン写真を使い、スコアポイント制で評価を行います。スコア付けの方法はイギリスの評価方法をもとにした独自のもので総スコア0~90ポイント(ポイントが高いほどより重度の股関節形成不全であることを示します)で評価を行います。
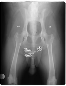
ソロモンの股関節評価
ソロモンの股関節評価 0/1 総スコア 1
100%明らかに関節炎の所見が認められないと診断されました。
http://www.jahd.org/CHD_score.htm


ラブラドールの平均値のページ
http://www.jahd.org/jahdnet_e.html
種犬(父)の両親の股関節評価
ソロモンの両親は BVA/KC法で検査されています。
スコアポイント制は主にイギリス(BVA/KCスコアリングスキーム)で行われている方法で、イギリスでは股関節形成不全の特徴的な所見を片足ごとに9つの項目に分け、それぞれをスコアづけし(0~5、6ポイント)、その総スコアで股関節を評価します。この方法での総スコアは0から106ポイントであり、ポイントが高いとより重度の股関節形成不全ということになります。この方法ですと、先ほどのグレーゾーンが点数で表されるので、非常に明確に評価が可能であると考えられています。実際に、繁殖する際にどのように考えるかというと、イギリスの場合だと各犬種での平均値を公開しています。
繁殖をする場合には、できれば可能な限り0ポイントに近い繁殖犬を用いることが推奨されていますが、犬種ごとの平均値よりも少ない犬同士を交配していけば、全体のポイント数は徐々に下がっていくという考えです。現在のところ、このポイント制が世界的にも科学的には最も納得のできる方法であると考えられます。
ソロモンの父
Hip:4/4 2005年1月26日検査
ソロモンの母
Hip:2/3 2006年4月12日検査